奥歯の比較的大きな虫歯は、保険治療の場合『銀歯』を詰める方法が一般的です。しかしこの治療法は機能的な回復はできても、金属による修復なので見た目はかなり悪くなってしまいます(図1)。そこで患者様からは奥歯を白くしたいという要望が多くなります。
保険の範囲内で奥歯を白くする治療方法としてはコンポジットレジン充填があります。コンポジットレジン充填とは、虫歯になった歯質を除去してできた穴(窩洞)を接着処理した後、粘土状のコンポジットレジン(図2)を詰めてから青色の光を当てて硬化させる方法です。この治療方法は主に前歯の部分的な虫歯や奥歯の小さな虫歯に適用されます。
コンポジットレジンは歯と同色なので見た目は非常にきれいですが、銀歯にしなければならないような奥歯の大きな窩洞にコンポジットレジン充填をするのは、当院ではあまりお勧めしていません。その理由は、コンポジットレジンが歯の表層のエナメル質に比べて軟らかく、摩耗しやすいからです。奥歯の咬み合う面(咬合面)に充填されたコンポジットレジンは、咬み合う歯(対合歯)のエナメル質に繰り返し接触することで次第に摩耗していきます(図3)。
コンポジットレジンが摩耗すると、次第にくぼみが深くなり対合歯が移動してきます(図4)。一度大きくくぼんだ歯を元の形状に戻すには、残念ながら対合歯を移動した分だけ削らなければなりません。また奥歯を複数歯にわたって大きなコンポジットレジン充填をした場合、レジンが摩耗することで咬み合わせが低くなり、顎の調子が悪くなる可能性があります。
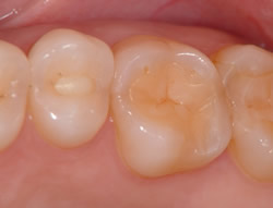
もし奥歯で歯と同色の見た目の良い詰め物を希望する場合は、自費診療になりますが歯と同等の硬さを有するセラミックによる修復(図5)をお勧めします。

図1. 銀歯による修復機能的回復はできても見た目は悪くなる

図2. コンポジットレジン粘土状のレジンを充填後、青い光で硬化させる

図3. 奥歯のコンポジットレジンが対合歯により 摩耗した症例左隣の小臼歯のレジンは面積が小さく、対合歯に直接接触しないのでほとんど摩耗していない

図4. コンポジットレジンが摩耗すると 対合歯が移動して食い込んでくる元の形状に回復するには破線部まで対合歯を削らなければならない

図5. 図3の歯をセラミックで修復して6年経過後大きな摩耗もなく安定している
